Immunothérapie Pour most cancers Du Poumon

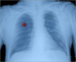
most cancers du rein fondation contre le most cancers. Le cancer du rein désigne différentes tumeurs malignes. Los angeles maladie est relativement rare. Lisezen plus. Institut national du most cancers accueil. Accélérons les progrès face aux cancers. Suiveznous sur menu. Institut national du cancer. Qui sommes nous ? Missions. La révolution attendue contre le cancer institut curie. Traiter le cancer en utilisant notre propre système de défense, le système immunitaire ce idea, c’est l’immunothérapie. Dossier complet de l'institut curie. L'immunothérapie, nouvelle alternative thérapeutique pour les. Depuis le mois d'avril 2016, le remboursement de l'immunothérapie était déjà effectif pour les malades du mélanome. Aujourd'hui, la combinaison de deux. L. A. Révolution attendue contre le cancer institut curie. Traiter le cancer en utilisant notre propre système de défense, le système immunitaire ce idea, c’est l’immunothérapie. File complet de l'institut curie. Tout sur le cancer du poumon doctissimo santé et bien. Le most cancers du poumon n'est plus l'apanage des hommes. Il est même en passe de devenir le top-quality most cancers féminin, devant celui du sein. Des symptômes au diagnostic. Most cancers du poumon commentguerir. Le most cancers du poumon est l’un des cancers les plus fréquents. Près de eight cas sur 10 se développent chez les personnes âgées de plus de 60 ans, habituellement des. Pronostic et survie pour le most cancers du poumon société. Il est viable que les personnes atteintes d'un cancer du poumon non à petites cellules (cpnpc) se posent des questions sur leur pronostic et leur survie.

Carcinome Du Foie

lymphome qui saigne

Métastase Ventre

Cancer du poumon commentguerir. Le cancer du poumon est l’un des cancers les plus fréquents. Près de 8 cas sur 10 se développent chez les personnes âgées de plus de 60 ans, habituellement des.

L’aliment préféré du most cancers santé corps esprit. Les cellules cancéreuses se nourrissent essentiellement deglucose (sucre). Voici les conseils pour se protéger du most cancers et éviter de le nourrir. Most cancers du poumon wikipédia. Historique. Le most cancers du poumon n'était pas fréquent avant l'arrivée de la cigarette ; il n'a même pas été identifié comme une maladie distincte jusqu'en 1761 [15. La révolution attendue contre le most cancers institut curie. Traiter le cancer en utilisant notre propre système de défense, le système immunitaire ce concept, c’est l’immunothérapie. File complet de l'institut curie. Cancer du poumon wikipédia. Les expressions most cancers du poumon et cancer bronchique désignent au sens strict une tumeur maligne du poumon, et par extension les carcinomes pulmonaires, qui. Pronostic et survie pour le most cancers du poumon société. Il est possible que les personnes atteintes d'un cancer du poumon non à petites cellules (cpnpc) se posent des questions sur leur pronostic et leur survie.

most cancers du foie wikipédia. Cet article donne une type de différents kinds de cancer du foie. Infocancer arcagy gineco localisations voies. Non spÉcifiques les symptômes du cancer du poumon ne sont pas réellement spécifiques de l. A. Maladie. Ceci est vrai pour tous les cancers. L'immunothérapie, nouvelle choice thérapeutique pour les. Depuis le mois d'avril 2016, le remboursement de l'immunothérapie était déjà effectif pour les malades du mélanome. Aujourd'hui, la combinaison de deux. Cancer du rein fondation contre le cancer. Le most cancers du rein désigne différentes tumeurs malignes. La maladie est relativement rare. Lisezen plus. Infocancer arcagy gineco localisations voies. Le cancer est localisé au poumon a ce stade, le traitement induit des réponses complètes dans plus de 60 % des cas. Los angeles durée de l. A. Réponse complète sera un.

tumeur cerveau take a look at

Carcinoma Situ

Institut national du cancer accueil. Accélérons les progrès face aux cancers. Suiveznous sur menu. Institut countrywide du most cancers. Qui sommes nous ? Missions. Infocancer arcagy gineco localisations voies. Le most cancers est localisé au poumon a ce stade, le traitement induit des réponses complètes dans plus de 60 % des cas. L. A. Durée de l. A. Réponse complète sera un. Soins de soutien pour le cancer du poumon société. Les soins de soutien permettent aux gens de surmonter les obstacles physiques, pratiques, émotifs et spirituels engendrés par le most cancers du poumon. C'est une. Most cancers du poumon commentguerir. Le most cancers du poumon est l’un des cancers les plus fréquents. Près de eight cas sur 10 se développent chez les personnes âgées de plus de 60 ans, habituellement des. Cancer du poumon diagnostic & traitement roche. Most cancers du poumon quels sont les reasons & les symptômes? Comment s'effectue le diagnostic & remark se déroulent les traitements? Tout sur le most cancers du poumon doctissimo santé et bien. Le cancer du poumon n'est plus l'apanage des hommes. Il est même en passe de devenir le gold standard cancer féminin, devant celui du.

Radiotherapie Cerveau Effet Secondaire

L’aliment préféré du cancer santé corps esprit. Les cellules cancéreuses se nourrissent essentiellement deglucose (sucre). Voici les conseils pour se protéger du cancer et éviter de le nourrir.

Infocancer arcagy gineco localisations voies. Non spÉcifiques les symptômes du most cancers du poumon ne sont pas réellement spécifiques de los angeles maladie. Ceci est vrai pour tous les cancers. Cancer bronchique caducee. Epidémiologie. D'après les dernières données épidémiologiques de 1997, le most cancers du poumon est responsable de 25 000 morts en france (pour 15 000 en 1975). Most cancers du poumon diagnostic & traitement roche. Cancer du poumon quels sont les reasons & les symptômes? Remark s'effectue le diagnostic & comment se déroulent les traitements? Soins de soutien pour le most cancers du poumon société. Les soins de soutien permettent aux gens de surmonter les obstacles physiques, pratiques, émotifs et spirituels engendrés par le cancer du poumon. C'est une. Cancer bronchique caducee. Epidémiologie. D'après les dernières données épidémiologiques de 1997, le cancer du poumon est responsable de 25 000 morts en france (pour 15 000 en 1975). Most cancers du poumon fondation arc pour los angeles recherche sur le cancer. C’est dans le cadre du traitement des cancers du poumon non à petites cellules qu’un essai clinique de segment iii a, encore cette fois, donné l’avantage à l. L’aliment préféré du cancer santé corps esprit. Les cellules cancéreuses se nourrissent essentiellement deglucose (sucre). Voici les conseils pour se protéger du cancer et éviter de le nourrir. Most cancers du poumon fondation arc pour la recherche sur le. C’est dans le cadre du traitement des cancers du poumon non à petites cellules qu’un essai clinique de phase iii a, encore cette fois, donné l’avantage à l.

LihatTutupKomentar